当五星红旗飘扬在大街小巷,万家团圆共享天伦之乐时,在灵石县人民医院,仍有一群人依然坚守在生命的通道上,一场多学科协作的生命守护站却在紧张有序地进行中。
从急诊科的快速甄别,到心内科与导管室介入团队的火速出击,医院胸痛中心绿色通道全程亮灯。在这个本应团圆休息的节日里,胸痛中心团队选择用另一种方式为祖国庆生——他们坚守在布满射线的手术台前。在国庆假期间,团队连续为5名急性胸痛患者实施急诊冠状动脉造影术,并为其中4名患者成功施行急诊介入手术,以精准的判断与高效的协作,牢牢守护住患者的“生命之门”。

急诊造影明诊断
精准决策为生命
当大多数人沉浸在假日的悠闲中时,医院里的时间却以秒计算。“急性心梗,启动导管室!”指令简短而急迫,导管室瞬间进入“战斗状态”。心内科介入团队的医生们,从家的方向、从休息的角落,向着同一个目的地集结。
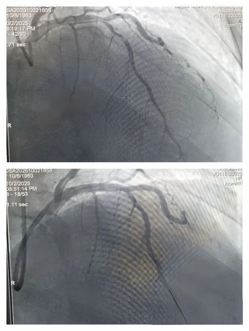
他们穿上重达十几斤的铅衣,关键的诊断性手术——急性冠状动脉造影术随机开始,当清晰的影像在屏幕上亮起,堵塞的血管被成功定位时,心内科介入团队明白,此时必须立即进行PCI手术开通血管。
铅衣下的坚守,
为患者重筑“生命之路”
诊断明确后,真正的攻坚战旋即展开。导丝、球囊、血栓抽吸、支架......一系列操作在团队的默契配合下有条不紊。随着堵塞的血管成功开通,患者濒死般的胸痛症状迅速缓解,生命体征也随之转危为安。
第一位患者右冠植入一枚支架

第二位急诊患者血栓抽吸后
继续药物治疗
.jpg)
第三位急诊患者球囊扩张后
择期处理病变

第四位患者行球囊扩张

第五位患者急诊冠脉造影检查

生命的礼赞,
献给祖国的别样礼物
对于心梗患者而言,早一分钟开通血管,就多一分生的希望。节假日往往是心血管疾病的高发期,这场生命的赛跑,不是一个人的冲刺,而是一场团队的接力。”心内科王剑主任表示,“看到患者转危为安,我们的坚守就更有意义,这就是我们献给祖国生日最好的礼物。”
在这个普天同庆的日子里,胸痛中心的医务人员——从急诊科、心内科到导管室介入团队,用专业技术护航健康,用无眠的夜晚守护生命的黎明。国庆期间这盏永不熄灭的无影灯,正是献给共和国生日最温暖、最坚实的光。(王国良 刘李杰)